20-сантиметровую цепочку проглотил маленький воронежец
Украшение не двигалось по ЖКТ
Воронежский младшеклассник проглотил 20-сантиметровую цепочку во время игры. Узнав о случившемся, родители мальчика обратились в ОДКБ № 2, рассказали в региональном минздраве.
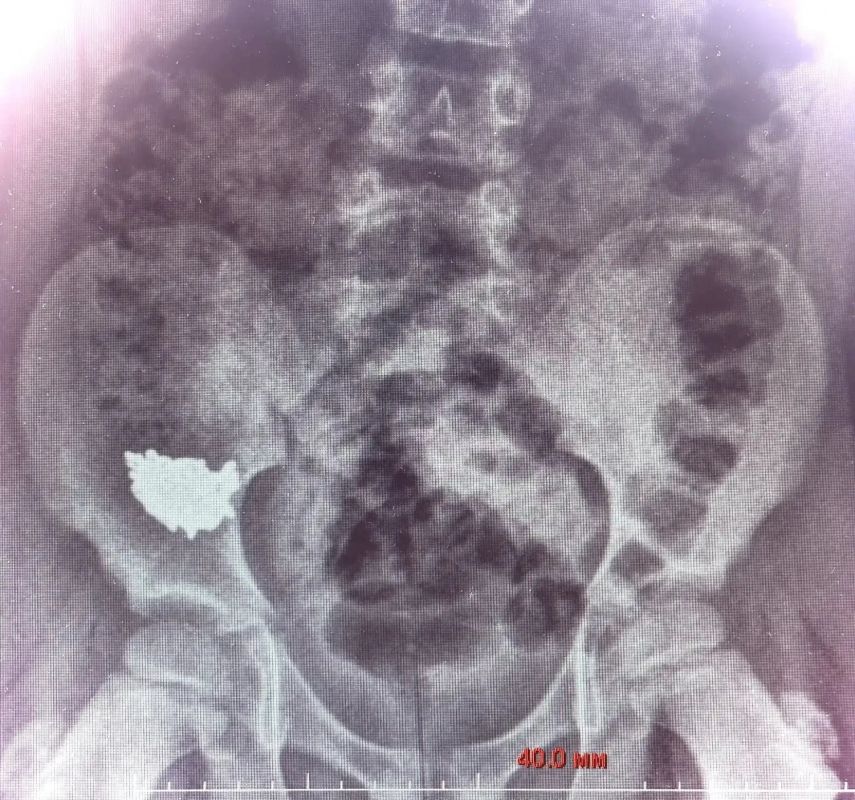
Врачи сделали рентген и узнали, что цепочка расположилась внизу живота, в правой подвздошной области. Ребёнка госпитализировали.

Спустя четверо суток снимки показали, что украшение не двигается по ЖКТ. Тогда врачи решили достать цепочку с помощью операции, так как существовал риск перфорации кишки и перитонита.
Украшение удалили через просвет аппендикса, а заодно вырезали и сам аппендикс. Сейчас ребёнок в стабильном состоянии. Он готовится к выписке.
Ранее мы писали о малыше, который проглотил 16 гаек.